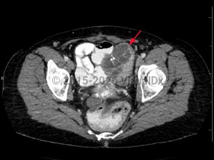
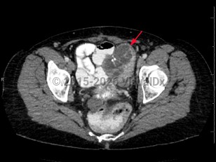
Ovarian cancer
Alerts and Notices
Important News & Links
Synopsis
In the United States, ovarian cancer is the deadliest gynecologic malignancy, resulting in more deaths than uterine and cervical cancers combined. It is the second most common gynecologic malignancy.
Ovarian cancer can develop at any age, although it is most common in postmenopausal women, with an average age at diagnosis in the mid-60s. Women of Northern European descent are more likely to develop ovarian cancer, although women of African descent are more likely to die of the disease. The prognosis for women with stage III or IV mucinous ovarian cancer, a rare subtype of ovarian carcinoma, is poorer than the prognosis for women with other subtypes.
Risk factors for ovarian cancer are usually related to frequency and duration of ovulation. Early menarche, late menopause, and nulliparity have been associated with increased risk for ovarian cancer. Factors that decrease the risk of ovarian cancer are those that provide a respite in continuous ovulation, such as pregnancy, breastfeeding, and use of oral contraceptives.
Patients may have a genetic predisposition to development of ovarian cancer. For example, patients with a mutation in the BRCA1 gene have up to a 46% risk of ovarian cancer by age 70, while those with a mutation in the BRCA2 gene have up to a 27% risk. Lynch syndrome (hereditary nonpolyposis colorectal cancer) is an autosomal-dominant syndrome that increases the risk of ovarian cancer, in addition to being associated with endometrial, colorectal, intestinal, or renal cancers.
Patients with ovarian cancer are usually diagnosed with advanced disease, as the symptoms are often dismissed or overlooked by the patient and/or provider.
Codes
C56.9 – Malignant neoplasm of unspecified ovary
SNOMEDCT:
363443007 – Malignant tumor of ovary
Look For
Subscription Required
Diagnostic Pearls
Subscription Required
Differential Diagnosis & Pitfalls
Subscription Required
Best Tests
Subscription Required
Management Pearls
Subscription Required
Therapy
Subscription Required
Drug Reaction Data
Subscription Required
References
Subscription Required
Last Updated:01/25/2022
