Pulmonary embolism
Alerts and Notices
Important News & Links
Synopsis
Patients with massive pulmonary embolism (PE) should undergo anticoagulation and systemic thrombolysis. Pressors should be started (preferably norepinephrine) if the patient remains hypotensive. Caution should be given for giving excess intravenous (IV) fluids for potential worsening right heart failure. Submassive and low-risk PE should undergo anticoagulation.
Diagnosis Overview:
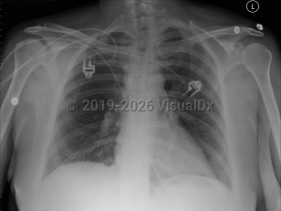
A PE is a blood clot that typically originates from thrombi in the deep venous system of the legs and travels to the lungs. It can also originate from deep pelvic veins, rectal veins, the inferior vena cava, the right heart, and the axillary veins. Approximately 10% of cases are fatal.
The clinical presentation depends upon the size, location, number and chronicity of emboli, and the patient's cardiorespiratory reserve. Often symptoms are nonspecific. Features may include dyspnea and tachypnea, chest pain (most commonly pleuritic), cough, tachycardia, arrhythmia, palpitations, hemoptysis, thigh and/or leg pain and/or swelling, pleural effusion, pulmonary infiltrates, cyanosis, syncope, and, in some cases, sudden death (classically pulseless electrical activity [PEA] arrest).
Predisposing factors for PE include a history of venous thromboembolism, genetic predilection (factor V Leiden, antithrombin III gene mutation, protein C or S deficiency, etc), cancer, trauma, surgery, pregnancy or oral contraceptive use, prolonged immobility, advanced age, obesity, and congestive heart failure. Specific etiologies described in the literature, although uncommon, include embolization of struts from an inferior vena cava filter and use of polymethylmethacrylate medical cement in spine surgery.
There are often long-term recurrent risks of another thromboembolism after the first venous thromboembolism.
Codes
I26.09 – Other pulmonary embolism with acute cor pulmonale
I26.99 – Other pulmonary embolism without acute cor pulmonale
SNOMEDCT:
59282003 – Pulmonary embolism
Look For
Subscription Required
Diagnostic Pearls
Subscription Required
Differential Diagnosis & Pitfalls
Subscription Required
Best Tests
Subscription Required
Management Pearls
Subscription Required
Therapy
Subscription Required
Drug Reaction Data
Subscription Required
References
Subscription Required
Last Updated:11/29/2022
Patient Information for Pulmonary embolism - Improve treatment compliance
- Reduce after-hours questions
- Increase patient engagement and satisfaction
- Written in clear, easy-to-understand language. No confusing jargon.
- Available in English and Spanish
- Print out or email directly to your patient
