Contents

SynopsisCodesBest TestsReferences

View all Images (8)

Acinetobacter infection
Other Resources UpToDate PubMed

Acinetobacter infection

Contributors: Neil Mendoza MD
Other Resources UpToDate PubMed

Synopsis

Bacterial infections due to Acinetobacter species are typically encountered in health care settings and can be particularly difficult to treat due to the propensity of the organism to incorporate multiple antibiotic resistance mechanisms. Hospital outbreaks of multidrug-resistant Acinetobacter infections, including carbapenem-resistant Acinetobacter baumannii (CRAB), have been reported. A wide range of infections are possible with this organism, including bloodstream infections, pneumonia (occasionally even community-acquired pneumonia), urinary tract infections, and wound infections (wound infection in soldiers after traumatic injury have been reported).

Patients who are immunosuppressed, have diabetes, or who are hospitalized (especially in intensive care units) are at increased risk for this infection.

Patients present with symptoms compatible with the site of infection (for example, patients with pneumonia will have respiratory symptoms compatible with pneumonia). Fever is common. Laboratory studies will frequently reveal leukocytosis. The organism grows readily in standard culture media, and infection can be diagnosed by isolating the organism.

Codes

ICD10CM:
041.85 – Other specified bacterial agents as the cause of diseases classified elsewhere

SNOMEDCT:
446156008 – Infection due to multidrug resistant Acinetobacter

Best Tests

Subscription Required

References

Subscription Required

Last Updated:04/24/2025
Copyright © 2026 VisualDx®. All rights reserved.
Acinetobacter infection
A medical illustration showing key findings of Acinetobacter infection (Respiratory) : Chills, Cough, Fever, Dyspnea
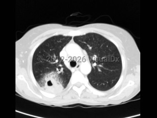
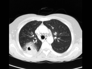
Imaging Studies image of Acinetobacter infection - imageId=6106611. Click to open in gallery.  caption: '<span>Acinetobacter community acquired pneumonia.</span>'
Acinetobacter community acquired pneumonia.
Copyright © 2026 VisualDx®. All rights reserved.