Medulloblastoma in Adult
Alerts and Notices
Important News & Links
Synopsis
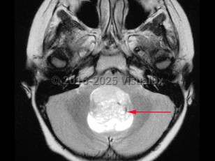
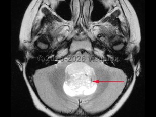
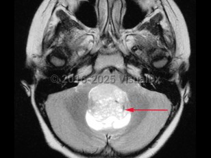
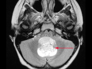
A medulloblastoma is a malignant primary brain tumor located in the posterior fossa near the fourth ventricle. It is the most common malignant brain tumor in children. One-third of cases present in children aged younger than 3 years. In adults, the tumor usually presents before age 40.
Initial symptoms may relate to increased intracranial pressure as a consequence of blockage of the fourth ventricle, causing morning headache, nausea / vomiting, and irritability. Later, patients can develop ataxia, frequent falls, papilledema, diplopia, nystagmus, and/or neck stiffness.
This tumor may spread through the cerebrospinal fluid (CSF) to other parts of the brain and spinal cord. It is an aggressive tumor and recurrence is common. Five-year survival rates are about 60% in all age groups. Patients with medulloblastoma are considered higher risk if they present as infants or at an older age, have metastatic disease, and if their tumors have aggressive histopathology or specific molecular markers.
Patients with medulloblastoma should have a physical examination and family history taken to rule out basal cell nevus syndrome.
Initial symptoms may relate to increased intracranial pressure as a consequence of blockage of the fourth ventricle, causing morning headache, nausea / vomiting, and irritability. Later, patients can develop ataxia, frequent falls, papilledema, diplopia, nystagmus, and/or neck stiffness.
This tumor may spread through the cerebrospinal fluid (CSF) to other parts of the brain and spinal cord. It is an aggressive tumor and recurrence is common. Five-year survival rates are about 60% in all age groups. Patients with medulloblastoma are considered higher risk if they present as infants or at an older age, have metastatic disease, and if their tumors have aggressive histopathology or specific molecular markers.
Patients with medulloblastoma should have a physical examination and family history taken to rule out basal cell nevus syndrome.
Codes
ICD10CM:
C71.6 – Malignant neoplasm of cerebellum
SNOMEDCT:
443333004 – Medulloblastoma
C71.6 – Malignant neoplasm of cerebellum
SNOMEDCT:
443333004 – Medulloblastoma
Look For
Subscription Required
Diagnostic Pearls
Subscription Required
Differential Diagnosis & Pitfalls
To perform a comparison, select diagnoses from the classic differential
Subscription Required
Best Tests
Subscription Required
Management Pearls
Subscription Required
Therapy
Subscription Required
References
Subscription Required
Last Reviewed:08/28/2018
Last Updated:05/31/2022
Last Updated:05/31/2022
Medulloblastoma in Adult
