Contents

SynopsisCodesLook ForDiagnostic PearlsDifferential Diagnosis & PitfallsBest TestsManagement PearlsTherapyDrug Reaction DataReferences

View all Images (6)

Potentially life-threatening emergency
Large bowel obstruction
Other Resources UpToDate PubMed
Potentially life-threatening emergency

Large bowel obstruction

Contributors: Brit Long MD, Taylor Reffett MD, Michael W. Winter MD, Sara Manning MD
Other Resources UpToDate PubMed

Synopsis

Emergent Care / Stabilization:
  • Give fluid resuscitation to patients presenting with hypovolemia or signs of shock, with pressors as needed.
  • Obtain urgent surgical consultation and administer early antibiotics for patients presenting with signs of bowel ischemia or sepsis.
  • Provide symptomatic therapy with intravenous (IV) pain medication and antiemetics.
  • Give the patient nothing by mouth.
Diagnosis Overview:
A large bowel obstruction (LBO) occurs when intraluminal contents fail to pass through the large intestine. This results in dilation of the proximal large bowel, with fluid accumulation, gas production, increased intraluminal pressure, and bacterial overgrowth. Bacterial translocation can then lead to bacteremia and sepsis.

Unlike small bowel obstructions (SBOs), LBOs often occur secondary to colorectal malignancies, accounting for 60% of all cases. Stenosis secondary to diverticular disease and volvulus account for another 30%. Other causes include compression from intra-abdominal masses and stenosis secondary to inflammatory bowel disease, radiation, or surgical anastomoses.

LBOs may be partial or complete. A simple LBO is characterized by a single point of obstruction. A closed-loop obstruction is characterized by occlusion of the bowel at 2 points and has the highest risk of ischemia due to occlusion of the blood supply. A classic example of this is sigmoid volvulus. A competent ileocecal valve may also contribute to closed loop obstructions as the large bowel cannot decompress proximally.

Patients present with severe abdominal distension and inability to pass stool or flatus. Abdominal pain due to LBO is typically less severe and more gradual in onset compared to SBO. However, patients with LBO typically have more severe distension compared to SBO, as well as nausea and vomiting.

Patients presenting secondary to colorectal malignancy often have a history of alternating diarrhea and constipation over the preceding weeks to months and may have had bleeding per rectum. A change in stool caliber and/or weight loss may be present and suggest malignancy is the cause of the LBO. Left lower quadrant (LLQ) pain can be suggestive of diverticular disease. Sigmoid volvulus is more common in older patients, those on a high-fiber diet, those with a history of chronic constipation, and long-term care facility residents. Cecal volvulus differs in that it occurs most commonly in patients between the ages of 30 and 60 years and in those with a pelvic mass, prior abdominal surgery, and in the third trimester of pregnancy.

Obstruction leads to increased colonic dilation, eventually leading to necrosis and perforation of the bowel. Patients with bowel ischemia or perforation usually have more severe presentations, often with signs of peritonitis, sepsis, and hemodynamic instability.

Codes

ICD10CM:
K56.609 – Unspecified intestinal obstruction, unspecified as to partial versus complete obstruction

SNOMEDCT:
281254000 – Large bowel obstruction

Look For

Subscription Required

Diagnostic Pearls

Subscription Required

Differential Diagnosis & Pitfalls

To perform a comparison, select diagnoses from the classic differential

Subscription Required

Best Tests

Subscription Required

Management Pearls

Subscription Required

Therapy

Subscription Required

Drug Reaction Data

Subscription Required

References

Subscription Required

Last Reviewed:01/11/2023
Last Updated:03/03/2024
Copyright © 2025 VisualDx®. All rights reserved.
Potentially life-threatening emergency
Large bowel obstruction
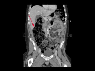
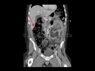
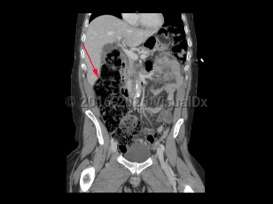
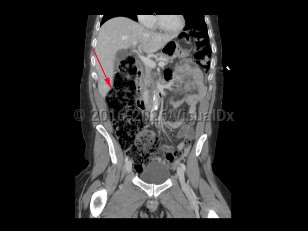
Imaging Studies image of Large bowel obstruction - imageId=8359789. Click to open in gallery.  caption: '<span>Coronal image from a CT scan demonstrating dilated ascending colon with large amount of stool. The remainder of the large bowel loops were also dilated, consistent with a large bowel obstruction.</span>'
Coronal image from a CT scan demonstrating dilated ascending colon with large amount of stool. The remainder of the large bowel loops were also dilated, consistent with a large bowel obstruction.
Copyright © 2025 VisualDx®. All rights reserved.