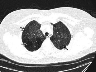
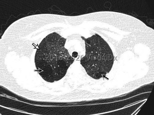
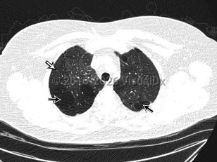
Bronchiolitis obliterans
Alerts and Notices
Important News & Links
Synopsis
Diacetyl is a flavoring compound often used in e-cigarettes / vape pens. Its former use in factories manufacturing microwave popcorn was associated with diagnoses of bronchiolitis obliterans, thus sometimes known as "popcorn lung."
The clinical syndrome manifests as an airway obstruction, cough, and slowly progressive dyspnea (weeks to months), with radiographic examination showing normal or hyperinflation of the lungs. Tachypnea, crackles, and/or wheezing may be evident on physical examination.
Related topic: Bronchiolitis
Codes
J42 – Unspecified chronic bronchitis
SNOMEDCT:
40100001 – Obliterative bronchiolitis
Look For
Subscription Required
Diagnostic Pearls
Subscription Required
Differential Diagnosis & Pitfalls
Subscription Required
Best Tests
Subscription Required
Management Pearls
Subscription Required
Therapy
Subscription Required
Drug Reaction Data
Subscription Required
References
Subscription Required
Last Updated:01/26/2022
