Craniopharyngioma
Alerts and Notices
Important News & Links
Synopsis
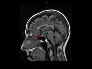
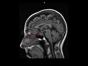
A craniopharyngioma is a brain tumor arising from pituitary embryonic tissue. It is typically suprasellar and has solid and cystic components. Age of onset can occur in childhood (about age 5-15) or adulthood (about age 50-70). There are adamantinomatous, papillary, and mixed types. Adamantinomatous tumors are more common in children and papillary tumors are more common in adults. A Rathke cleft cyst may develop from Rathke pouch if the pouch does not close normally.
Craniopharyngiomas are usually slow growing, and symptoms arise from compression of surrounding structures or increased intracranial pressure. Presenting symptoms include visual loss (most commonly superior temporal quadrantanopsia), headache, hormonal imbalances leading to delayed puberty in children, amenorrhea, hypersomnia, diabetes insipidus, and/or decreased libido. These tumors are usually benign with a good prognosis, but often recur when resection is incomplete.
Craniopharyngiomas are usually slow growing, and symptoms arise from compression of surrounding structures or increased intracranial pressure. Presenting symptoms include visual loss (most commonly superior temporal quadrantanopsia), headache, hormonal imbalances leading to delayed puberty in children, amenorrhea, hypersomnia, diabetes insipidus, and/or decreased libido. These tumors are usually benign with a good prognosis, but often recur when resection is incomplete.
Codes
ICD10CM:
D44.3 – Neoplasm of uncertain behavior of pituitary gland
SNOMEDCT:
189179009 – Craniopharyngioma
D44.3 – Neoplasm of uncertain behavior of pituitary gland
SNOMEDCT:
189179009 – Craniopharyngioma
Look For
Subscription Required
Diagnostic Pearls
Subscription Required
Differential Diagnosis & Pitfalls
To perform a comparison, select diagnoses from the classic differential
Subscription Required
Best Tests
Subscription Required
Management Pearls
Subscription Required
Therapy
Subscription Required
References
Subscription Required
Last Reviewed:05/03/2018
Last Updated:11/14/2021
Last Updated:11/14/2021
Craniopharyngioma
