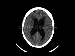
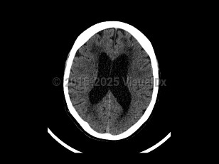
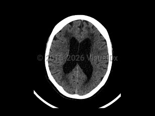
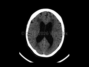
Normal pressure hydrocephalus (NPH) is a common neurologic disorder resulting in slowly progressive gait abnormalities, cognitive deterioration, and urinary incontinence.
The syndrome is often divided into 2 groups, idiopathic and secondary, based on etiology. Idiopathic NPH is thought to occur due to increased resistance to cerebrospinal fluid (CSF) absorption, leading to temporary elevations in intracranial pressure and mechanical compression of structures adjacent to the ventricles. However, the underlying etiology of idiopathic NPH has not yet been identified. Secondary causes of NPH include the sequelae of brain infections such as meningitis, trauma, or subarachnoid hemorrhage. This article will focus on the diagnosis, evaluation, and treatment of idiopathic NPH.
The incidence of NPH increases with advancing age, and most patients are over the age of 60. There is no difference in incidence between men and women. NPH has an estimated incidence of 1-5 cases per 100 000 people per year. Its prevalence is reported to be less than 1% in persons under the age of 65, and up to 3% for persons aged 65 or older. Among individuals with dementia, the incidence of NPH is thought to be between 2% and 6%.
Gait and balance dysfunction typically develop early in the course of NPH, whereas cognitive symptoms and incontinence usually appear as the disease progresses. The typical gait abnormality in NPH is a broad-based, slow, short-stepped, "stuck to the floor" or "magnetic" movement. Postural stability is usually impaired, and a history of falls may be reported. The cognitive deficits are typically impairments in attention, psychomotor speed, and executive dysfunction. Patients with more advanced NPH can develop generalized cognitive dysfunction. Disturbances of bladder function in NPH result from detrusor hyperactivity secondary to a loss of central inhibitory control. Increased urinary frequency and urgency and subsequent incontinence can develop.
Approximately 40%-75% of patients with suspected NPH are subsequently found to have other comorbid neurodegenerative diseases such as Alzheimer disease. NPH patients with other comorbid neurodegenerative conditions are thought to have a poorer response to CSF shunting.
Normal pressure hydrocephalus
Alerts and Notices
Important News & Links
Synopsis
Codes
ICD10CM:
G91.2 – (Idiopathic) normal pressure hydrocephalus
SNOMEDCT:
30753002 – Normal pressure hydrocephalus
G91.2 – (Idiopathic) normal pressure hydrocephalus
SNOMEDCT:
30753002 – Normal pressure hydrocephalus
Look For
Subscription Required
Diagnostic Pearls
Subscription Required
Differential Diagnosis & Pitfalls
To perform a comparison, select diagnoses from the classic differential
Subscription Required
Best Tests
Subscription Required
Management Pearls
Subscription Required
Therapy
Subscription Required
References
Subscription Required
Last Reviewed:04/08/2018
Last Updated:01/20/2022
Last Updated:01/20/2022
Normal pressure hydrocephalus
