Contents

SynopsisCodesLook ForDiagnostic PearlsDifferential Diagnosis & PitfallsBest TestsManagement PearlsTherapyReferences

View all Images (2)

Carcinoma of the ampulla of Vater
Other Resources UpToDate PubMed

Carcinoma of the ampulla of Vater

Contributors: Amirah Khan MD, Paritosh Prasad MD
Other Resources UpToDate PubMed

Synopsis

Carcinoma of the ampulla of Vater encompasses tumors that arise from within the ampullary complex (duodenal aspect of sphincter of Oddi, distal common bile duct [CBD], distal pancreatic duct, and papilla of Vater). These tumors often arise as part of a genetic syndrome, most commonly familial adenomatous polyposis (FAP) or hereditary nonpolyposis colorectal cancer (HNPCC), which tends to occur in a younger population. Patients with FAP require screening for duodenal adenomas including ampullary adenomas at the onset of colonic polyps or around age 25. Sporadic ampullary carcinomas typically occur around age 60-70.

Histologically, ampullary carcinomas can be divided into intestinal or pancreaticobiliary in origin. The intestinal type is more prevalent and is linked to mutations in KRAS and COX-2. Patients with intestinal-type ampullary carcinoma have a better prognosis. Painless jaundice (Courvoisier sign) is the most common clinical manifestation of ampullary carcinoma. This is caused by mechanical compression of the distal CBD by tumor. The remainder of patients can present with iron deficiency anemia or occult gastrointestinal tract bleeding. Silver stool may occur. More vague symptoms such as abdominal pain, nausea, fever, and dyspepsia can also occur.

The diagnosis is made with tissue biopsy. These tumors are staged using the T (tumor), N (lymph node), and M (metastasis) classification. Prognosis is dependent on tumor stage and histologic type. The 5-year survival for stage 1 disease is 84%; stage 2 is 70%; stage 3 is 27%; and stage 4 is 0%.

Codes

ICD10CM:
C24.1 – Malignant neoplasm of ampulla of Vater

SNOMEDCT:
254609000 – Carcinoma of the Ampulla of Vater

Look For

Subscription Required

Diagnostic Pearls

Subscription Required

Differential Diagnosis & Pitfalls

To perform a comparison, select diagnoses from the classic differential

Subscription Required

Best Tests

Subscription Required

Management Pearls

Subscription Required

Therapy

Subscription Required

References

Subscription Required

Last Reviewed:05/20/2018
Last Updated:07/20/2020
Copyright © 2026 VisualDx®. All rights reserved.
Carcinoma of the ampulla of Vater
A medical illustration showing key findings of Carcinoma of the ampulla of Vater : Diarrhea, Fatigue, Jaundice, Hyperbilirubinemia, Steatorrhea, Heme+ stool
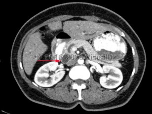
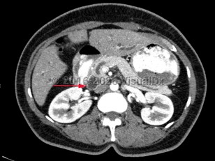
Imaging Studies image of Carcinoma of the ampulla of Vater - imageId=8367516. Click to open in gallery.  caption: '<span>Contrast enhanced CT scan of abdomen and pelvis demonstrates ampullary carcinoma with duct dilatation.</span>'
Contrast enhanced CT scan of abdomen and pelvis demonstrates ampullary carcinoma with duct dilatation.
Copyright © 2026 VisualDx®. All rights reserved.