Contents

SynopsisCodesBest TestsReferences

View all Images (32)

Osteochondral defect
Other Resources UpToDate PubMed

Osteochondral defect

Other Resources UpToDate PubMed

Synopsis

An osteochondral defect is a rare condition of osteonecrosis of the subchondral bone, characterized by a loose bone fragment and articular cartridge which is partially or completely detached from underlying bone. Joints most commonly affected are knee, elbow, and ankle. Symptoms include localized pain following athletic injury or overuse, more often in boys than girls. If the fragment becomes lodged in the joint, the patient may experience increased pain, tenderness, locking, or crepitus of the joint. Treatment depends on growth stage of affected patient. Juveniles with open growth plates may be treated conservatively and nonsurgically. Adults who are skeletally mature may undergo arthroscopic repair.

Related topics: osteochondral defect of talus, osteochondritis dissecans of elbow, osteochondritis dissecans of knee

Codes

ICD10CM:
M93.20 – Osteochondritis dissecans of unspecified site

SNOMEDCT:
82562007 – Osteochondritis dissecans

Best Tests

Subscription Required

References

Subscription Required

Last Updated:09/11/2023
Copyright © 2026 VisualDx®. All rights reserved.
Osteochondral defect
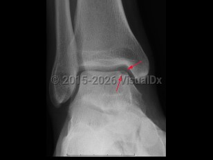
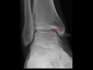
Imaging Studies image of Osteochondral defect - imageId=7921453. Click to open in gallery.  caption: '<span>Lucency at the medial talar dome compatible with an osteochondral defect.</span>'
Lucency at the medial talar dome compatible with an osteochondral defect.
Copyright © 2026 VisualDx®. All rights reserved.