Search Results
DDx Strength: Weak
Skin petechiae, Arthralgia, 50-59 year old Female

Edit Findings
Rocky Mountain spotted feverRocky Mountain spotted fever
Acute meningococcemiaAcute meningococcemia
Thrombotic thrombocytopenic purpuraThrombotic thrombocytopenic purpura
Chronic meningococcemiaChronic meningococcemia
Severe fever with thrombocytopenia syndrome
Viral exanthemViral exanthem
Crimean-Congo hemorrhagic fever
Acute myeloid leukemiaAcute myeloid leukemia
EndocarditisEndocarditis
Leukocytoclastic vasculitisLeukocytoclastic vasculitis
VasculitisVasculitis
ScurvyScurvy
Rheumatoid vasculitisRheumatoid vasculitis
Streptobacillus moniliformis rat-bite feverStreptobacillus moniliformis rat-bite fever
Endemic typhus
Dengue feverDengue fever
Chikungunya
Serum sicknessSerum sickness
South American hemorrhagic fever
Streptococcus suis infection
Hand, foot, and mouth diseaseHand, foot, and mouth disease
Immunoglobulin A vasculitisImmunoglobulin A vasculitis
Drug-induced non-palpable purpuraDrug-induced non-palpable purpura
Bacterial sepsisBacterial sepsis
CapillaritisCapillaritis
Heparin-induced thrombocytopenia
Ebola
Disseminated intravascular coagulationDisseminated intravascular coagulation
Immune thrombocytopenic purpuraImmune thrombocytopenic purpura
Queensland tick typhusQueensland tick typhus
Sjögren syndromeSjögren syndrome
Papular-purpuric gloves and socks syndromePapular-purpuric gloves and socks syndrome
Acquired pancytopeniaAcquired pancytopenia
Brazilian purpuric fever
Japanese spotted feverJapanese spotted fever
Systemic lupus erythematosusSystemic lupus erythematosus
Acute lymphoid leukemiaAcute lymphoid leukemia
Angioimmunoblastic lymphadenopathyAngioimmunoblastic lymphadenopathy
CryoglobulinemiaCryoglobulinemia
EhrlichiosisEhrlichiosis
Hyperglobulinemic purpura of WaldenströmHyperglobulinemic purpura of Waldenström
Mediterranean spotted feverMediterranean spotted fever
Rickettsia parkeri infection
Yellow fever
AL amyloidosisAL amyloidosis
BabesiosisBabesiosis
Bacterial meningitisBacterial meningitis
Disseminated gonorrheaDisseminated gonorrhea
Eosinophilic granulomatosis with polyangiitisEosinophilic granulomatosis with polyangiitis
Essential mixed cryoglobulinemia
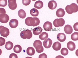
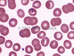
Malaria
Atrial myxomaAtrial myxoma
Kyasanur Forest disease
Omsk hemorrhagic fever
Epidemic typhus
Familial Mediterranean feverFamilial Mediterranean fever
Granulomatosis with polyangiitisGranulomatosis with polyangiitis
Microscopic polyangiitis
Ross River disease
Tick-borne relapsing fever